The number of tuberculosis cases linked to an outbreak in the Kansas City area continues to swell, according to the Kansas Department of Health and Environment.
The outbreak, which began a year ago, killed two people in 2024, Jill Bronaugh, the health department’s communications director, said in an update Tuesday. As of Friday, at least 67 patients were being treated for active tuberculosis in Kansas.
All but seven of those cases were in Wyandotte County, where Kansas City is, while the others were in neighboring Johnson County. Across the two counties, the health department has also confirmed 79 inactive tuberculosis infections, meaning the host isn’t contagious and doesn’t have symptoms. If left untreated, around 5% to 10% of inactive cases develop into active disease.
Last year, the health department reported over 70 active and more than 200 inactive tuberculosis cases, though Bronaugh said the “case counts are still provisional, as they will be reviewed and confirmed officially by the CDC near the end of March 2025.”
In its update, the health department described Kansas’ tuberculosis outbreak as “the largest documented outbreak in U.S. history” since the Centers for Disease Control and Prevention began monitoring and reporting cases in the 1950s.
But the CDC rebutted that characterization, pointing to a tuberculosis outbreak in Georgia homeless shelters from 2015 to 2017, in which more than 170 cases of active tuberculosis and over 400 inactive cases were detected. The agency also cited a national outbreak in 2021 linked to a bone graft product that affected 113 patients after surgery.
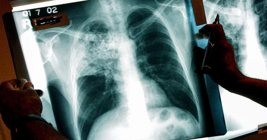
Tuberculosis is an airborne bacterial infection that mainly affects the lungs. Those sickened can have chest pain, feel weak and cough up blood or mucus from the respiratory tract, according to the CDC.
For patients with tuberculosis — active or inactive — treatment involves antibiotics and can take four to nine months. If left untreated, the disease can be fatal. Tuberculosis was responsible for 25% of all deaths in Europe from the 1600s to 1800s, according to the CDC.
A vaccine for tuberculosis — first developed in 1921 — is not generally used in the U.S. but is administered to infants and children in countries where the disease is more common.
The outbreak in Kansas “is still ongoing, which means that there could be more cases,” Bronaugh said in the health department update.
In the U.S. overall, tuberculosis cases rose each year from 2020 to 2023 — the latest data available — according to the CDC. That upward trend ended nearly three decades of decline.

Leave a Reply